¸Ã°¸Àýͨ¹ýʹÓúê»ùÒò¶þ´ú²âÐòÊÖÒÕ£¨mNGS)¸¨ÖúÁÙ´²ÅжÏÓëʶ±ð²»Ã÷Ôµ¹ÊÔÓÉÀÛ»ý¸¹Ë®ÖÐAnncaliia algerae²¡Ô£¬ÎªÁÙ´²ÕïÁÆÌṩÒÀ¾Ý£¬Ç¿Á¦Õ¹ÏÖÁËmNGSÔÚÒÉÄÑ»ò²»Ã÷Ôµ¹ÊÔÓÉѬȾ²¡ÀýµÄÔçÆÚÕï¶ÏºÍ¸öÌ廯ÖÎÁÆÖУ¬¾ßÓÐDZÔÚµÄÓ¦ÓüÛÖµ¡£
Ñо¿Åä¾° Anncaliia algerae (A. algerae)ÊÇרÐÔϸ°ûÄÚ¼ÄÉúµÄ΢æß×ӳ档×÷ΪһÖÖ»ú»áÐÔ²¡ÔÌ壬Ëü¿ÉÒÔѬȾ¶àÖÖËÞÖ÷£¬ÓÈÆäÀ§ÈÅ×Å»¼ÓÐÀà·çʪÐÔÊàŦÑס¢Æ÷¹ÙÒÆÖ²ºÍѪҺϵͳ¶ñÐÔÖ×ÁöµÈÃâÒß¹¦Ð§µÍÏÂÈËȺ¡£ ¼¡Ñ×ÊÇA. algeareѬȾ×î³£¼ûµÄ¼²²¡ÌåÏÖ¡£±ðµÄ£¬ÈËÀà΢æß×Ó³æ¿ÉÒÔÇÖȾ°üÀ¨³¦µÀ¡¢¸Î¡¢·Î¡¢ÄÔµÈÆ÷¹Ù£¬Æ¤·ô¡¢ÑÛ¾¦¡¢Éù´øµÈ²¿Î»Ò²Ôø±¬·¢A. algeraeѬȾ¡£A. algeraeѬȾ¾ßÓнϸßéæÃüΣº¦£¬Òò´Ë£¬×¼È·Õï¶ÏºÍʵʱÖÎÁÆÊ®·ÖÒªº¦¡£
Ñо¿ÄÚÈÝ 63Ë껼ÕßµÄÓÐÊý²»Ã÷Ôµ¹ÊÔÓÉѬȾ
»¼ÕßÁÙ´²²¡³Ì¼°ÖÎÁƼƻ®
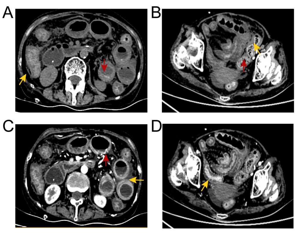
Ò»Ãû63Ë껼ÕßÈëԺǰÓÉÓÚ¼²²¡Ê·ºã¾Ã·þÓÃÃâÒßÒÖÖÆ¼Á¡£ÈëԺʱ£¬»¼ÕßÖ÷ËßʳÓû²»Õñ¡¢¶ñÐÄ¡¢ÍÂÄæ¡¢¸¹Õ͵ÈÖ¢×´ÒÑÒ»Á¬½üÒ»ÖÜ¡£ ¾Ìå¸ñ¼ì²éÏÔʾ£ºË«ÏÂÖ«Ë®Öס¢³¦Ãù΢Èõ¡¢¸¹²¿Ñ¹ÕÍ¡£¼ì²éÀú³ÌÖУ¬»¼ÕßËÄ֫δ¼û¼¡Èâѹʹ£¬¼¡ËἤøˮƽδÓÐÏÔ×ÅÒì³££¬É¨³ý¼¡Ñ׿ÉÄÜ£»Ë«·ÎºôÎüÒôÇåÎúÇÒÎÞ¸ÉʪÔÓÒô£»¸ÎÉö¹¦Ð§Ö¸±êÕý³££¬B³¬Ò²ÏÔʾ¸ÎÔà¾ÞϸÐÎ̬Õý³££¬ÃܶÈÔȳƣ»³¬ÉùÐĶ¯Í¼ÎÞÒì³££¬ÐÄÔàËõ¶ÌºÍÊæÕŹ¦Ð§Õý³££¬¾ùÓë¼ÈÍù±¨µÀA. algeareѬȾµÄÁÙ´²±íÐͲ»·û¡£ »¼Õß½ÓÊÜ¡°³¦¹£×衱µÄÖÎÁƼƻ®£¬ÔÚÖÎÁƽ׶ÎÖи¹ÕͼÓÖØ£¬²¡Çé½øÒ»²½¶ñ»¯¡£ ¸¹²¿ÅÌËã»ú¶Ï²ãɨÃèµÄ´ú±íÐÔͼÏñ¡£»ÆÉ«¼ýÍ·ÏÔʾ³¦±ÚÔöºñºÍճĤˮÖ×£»ºìÉ«¼ýÍ·ÏÔʾð¤Ä¤³äѪ£»³¦±ÚÖÜΧģºýµÄÖ¬·¾¼ä϶Åú×¢¸¹Ç»»ýÒº¡£
¸¹²¿ÅÌËã»ú¶Ï²ãɨÃè(CT)ÏÔʾ¸ÎÔà¡¢µ¨ÄÒ¡¢ÉöÔà¡¢ÒÈÏÙ¡¢×Ó¹¬ºÍ°òë×δ¼ûÒìÑù£¬µ«³¦±ÚÔöºñ£¬³¦±ÚÖÜΧ֬·¾¿Õ¼äÄ£ºý£¬Õ³Ä¤Ë®Ö×£¬¸¹Ç»ÖдæÓдó×Ú¸¹Ë®¡£ÓÚÊÇ£¬ÔÚ³¬ÉùÖ¸µ¼Ï¶Ի¼ÕßÐи¹Ç»´©´ÌºÍ¸¹Ë®ÒýÁ÷¡£¸¹Ë®Ñù±¾µÄ¿¹ËáȾɫ¡¢Î¢ÉúÎï×÷Óý£¨Ï¸¾úºÍÕæ¾ú£©¼°Ï¸°û²¡ÀíѧЧ¹û¾ùΪÒõÐÔ¡£
mNGS¼ì²â¸¨ÖúÕïÁÆÖÕÉúЧ¹û mNGSÅжϸ¹Ë®ÖÐA.algeare²¡ÔÌå Ëæºó£¬ÏÔ΢¾µÏÂÊӲ쵽¸¹Ë®Öб£´æÒ»´Ø2-3¦ÌmµÄÂÑÇòÐÎæß×Ó¡£mNGSÒªÁì½øÒ»²½ÆÊÎö¸¹Ë®ÖÐA. algeraeѬȾ¡£Í¬Ê±£¬´ó±ã¾µ¼ìµÄ΢æß×Ó³æÒõÐÔЧ¹ûÅú×¢£¬Ñ¬È¾²¢·Ç³¦µÀȪԴ¡£ ÓÚÊÇ£¬ÁÙ´²Ò½ÉúΪ»¼ÕßÈ·¶¨Á˻ǰ·¼×¶ñßò/¼×ÑõÜÐà¤(SMZ/TMP£»800 mg /160 120 mg 4¡Á/Ìì)ÍŽᰢ±½´ïßò(400 mg 2¡Á/Ìì)µÄÖÎÁƼƻ®¡£
Ñо¿×Ü½á ±¾°¸Àýͨ¹ýÓ¦ÓÃmNGSÊÖÒÕ£¬Ê×´ÎÔÚÃâÒß¹¦Ð§ÊÜËð»¼Õ߸¹Ë®ÖÐÀÖ³ÉÅжÏÁËA. algeareÕâÒ»ÓÐÊý²¡ÔÌå¡£ÕâÒ»·¢Ã÷²»µ«¸»ºñÁËÁÙ´²¶ÔA. algeareѬȾÏà¹Ø±íÐ͵ÄÊìϤ£¬¸ü͹ÏÔÁËÔÚÃæÁÙÃâÒß¹¦Ð§µÍÏ»¼ÕßÖзºÆðµÄ²»Ã÷Ôµ¹ÊÔÓɸ¹Ë®ÀÛ»ýʱ£¬Ë¼Á¿ÓÐÊýÉúÎïÌåѬȾµÄÐëÒªÐÔ¡£ ÔÚÓ¦¶ÔÁÙ´²ÒÉÄÑ»ò²¡Òò²»Ã÷µÄѬȾ²¡Àýʱ£¬mNGSÊÖÒÕÄܹ»ÖÜÈ«¼ì²âÑù±¾ÖеÄËùÓкËËáÐòÁУ¬ÎÞÂÛÊDz¡¶¾¡¢Ï¸¾ú¡¢Õæ¾úÕվɼÄÉú³æ£¬¶¼ÄÜÔÚÖØ´óµÄ΢ÉúÎïȺÂäÖо«×¼¶¨Î»²¡ÔÌ壬ΪҽÉúÖÆ¶©¸öÐÔ»¯ÖÎÁƼƻ®ÌṩÁËÓÐÁ¦µÄ¿ÆÑ§ÒÀ¾Ý¡£